Zahnersatz (Zahnkronen, Brücken)

In unserer Zahnklinik in Ungarn kommen nur die besten Materialien und Techniken zum Einsatz. Wir haben uns deshalb für Keramikkronen und -brücken der Marken Ivoclar Vivadent (Liechtenstein) und Noritake (Japan) entschieden.

Beispiele für Metallkeramikbrücken auf natürlichen Zähnen

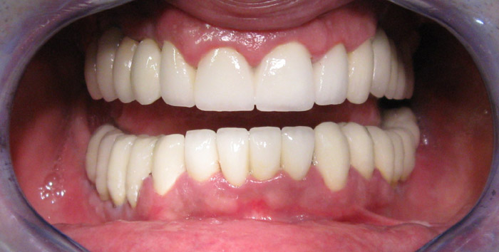
Fall Nr. 1: Keramik-Vollbrücken auf Ober- und Unterkiefer

Fall Nr. 2: Neugestaltung aller Zähne mit Brücken und Implantaten

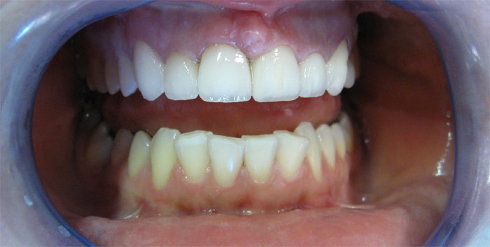
Fall Nr. 3: Keramik-Vollbrücken auf Ober- und Unterkiefer

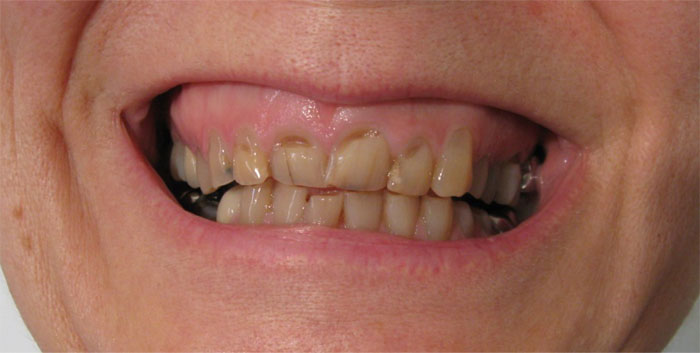
Fall Nr. 4: Keramik-Vollbrücke auf Oberkiefer Komplizierter Fall mit einer umgekehrten Okklusion: Unterkiefer weiter hervorstehend als Oberkiefer

Metallfreie Krone und Brücke aus Vollkeramik

Beispiel einer Verwendung metalfreier vollkeramischer Kronen und Brücken

Wie sind Zahnkronen und -brücken aufgebaut?

Das Kronen- oder Brückengerüst wird aus einem der folgenden Materialien gefertigt:

  • Metall (Metallkeramik-Kronen)
  • Keramik (Vollkeramik-Kronen oder -Brücken)
  • Zirkonoxid (Zirkoniumdioxid-Kronen oder -Brücken)

Auf ein Kronen- oder Brückengerüst, ganz gleich, ob es aus Metall, Keramik oder Zirkoniumdioxid gefertigt wurde, werden immer mehrere Schichten Keramik aufgetragen.

Diese Keramikschichten sind es, mit denen Form und Farbe des Gebisses für ein möglichst natürliches und ästhetisches Aussehen nachgebildet werden.

Matallkeramikbrücken und -kronen

Vorteile / Indikationen

  • Finanziell: Mit ca. 200 € der günstigste Preis, siehe Seite mit den Preisen für Zahnkronen
  • Belastbarkeit: Große Brücken sind auf wenigen Aufbauten möglich
  • Häufigste Verwendung: Geeignet für die meisten über 40-jährigen Patienten

Nachteile

  • Ästhetik: Das Metall kann zum Vorschein kommen, wenn sich das Zahnfleisch zurückzieht
  • Ästhetik: Es kann eine leicht graue Färbung auftreten, die bei Vorderzähnen unattraktiv wirken kann
  • Allergische Reaktionen: Möglich je nach Komponenten der Metalllegierung und eventuellen Unverträglichkeiten beim Patienten
  • Korrosion: Bei Verwendung unterschiedlicher Metalle (z. B. in Verbindung mit alten, nichtkeramischen Kronen), die miteinander entweder direkt oder beim Kauen durch Speichel in Kontakt treten

Vollkeramik-Kronen und -Brücken

Vorteile / Indikationen

  • Ideal zum Abdecken natürlicher, nicht wurzelbehandelter Zähne mit natürlicher, nicht gräulicher Farbe
  • Geeignet bei Unverträglichkeiten auf Metalle im Mund

Nachteile

  • Belastbarkeit: Schlechter bei Brücken mit größeren Abständen zwischen den Trägern (Implantataufbauten, Stifte, natürliche Zähne)
  • Ästhetik: Wird nicht für den Einsatz auf wurzelbehandelten (farblosen) Zähnen, bzw. auf Metallstiften oder Implantataufbauten empfohlen. Nichtsdestotrotz ist dieser ästhetische Nachteil kaum sichtbar.