Zahnersatz (implantatgetragene Brücke)
Nicht immer ist es notwendig, jeden fehlenden Zahn mit einem eigenen Implantat zu ersetzen. Es gibt sowohl solche Brücken, die auf Zahnimplantaten aufgebaut, als auch solche, die von natürlichen Zähnen getragen werden.
Es ist z. B. möglich, eine Brücke für drei Zähne auf zwei Implantaten aufzubauen, oder eine Brücke für zwölf Zähne von acht Implantaten tragen zu lassen.
Unter Umständen sind auch Mischlösungen möglich, wenn eine Brücke gleichzeitig von Implantaten und von natürlichen Zähnen getragen wird.
Nachfolgend finden Sie Fotos und Interview-Videos von Patienten, die in der Klinik Europa Dental implantatgetragene Brücken haben machen lassen.
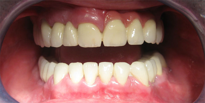
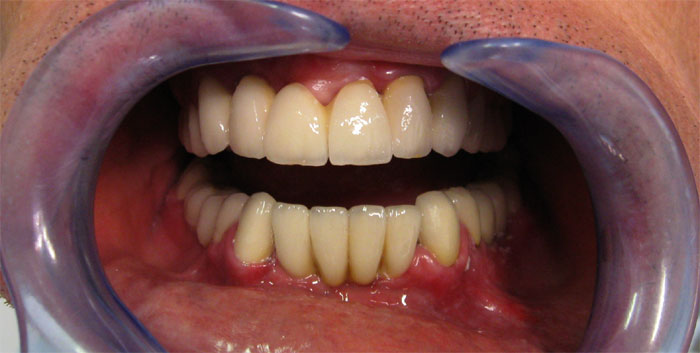
Fall Nr. 1: Brücke auf Alpha-Bio-Implantaten und Brücke auf natürlichen Zähnen
Fall Nr. 2: Mischbrücke auf Alpha-Bio-Implantaten und natürlichen Zähnen
Fall Nr. 3: Brücke auf Alpha-Bio-Implantaten und Brücke auf natürlichen Zähnen
Material für Implantatbrücken
Es ist wichtig, dass Sie den Unterschied der Materialien kennen, die bei Brücken verwendet werden können. Nachfolgend einige Erklärungen dazu:
- Metallkeramik-Brücken (keramikbeschichtetes Metallgerüst)
- Vollkeramik-Brücke (keramikbeschichtetes Keramikgerüst)
- Zirkonoxid-Brücke (keramikbeschichtetes Zirkoniumdioxidgerüst)
- Vorläufige Brücke (Kunststoff)















