Implantat DIO

Die Marke DIO
Seit 1982 hat ein stetiges Wachstum genossen. DIO ist heute ein Marktführer in der Herstellung von Zahnimplantaten.
In Südkorea ist DIO der zweitgrößte Implantat-Hersteller und der erste in Bezug auf die Marktkapitalisierung. DIO stellt auch High-End-Herzkatheter her und genießt weltweit einen hervorragenden Ruf in mehr als 45 Ländern.

… … … für einen nie dagewesenen Preis

Nachdem sie erhebliche Marktanteile in Asien, Amerika und Europa gewonnen haben,  sind die DIO Zahnimplantate mit ihrer High-End Technologie auf den Schweizer Markt gekommen .
Ein Blick in unsere Kataloge wird selbst die anspruchsvollsten Spezialisten von unserer hohen Professionalität überzeugen.

Qualität ist für uns die Hauptsache, aber der Preis ist ebenso wichtig, damit das Implantat zur bevorzugsten Option für alle klinischen Fälle von Zahnverlust Ihrer Patienten wird.

Exemples de traitements avec implant dentaire DIO

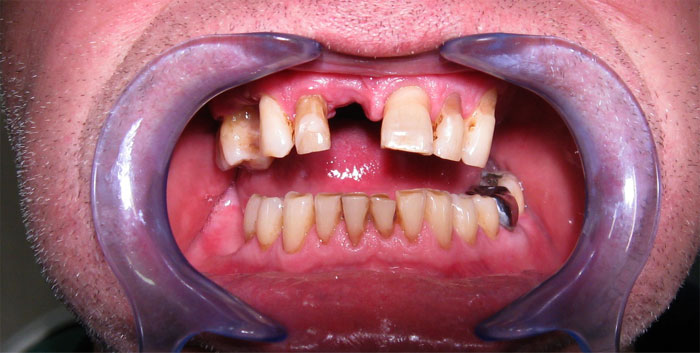
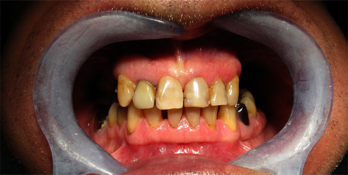
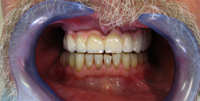
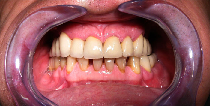
CAS N°1 Bridges et couronnes sur implant dentaire DIO et sur dents naturelles. Réhabilitation complète mâchoire supérieure, détartrage et blanchiment mâchoire inférieure.

Europa Dental Hongrie

CAS N°2 Bridges sur 6 implants dentaires DIO mâchoire supérieure. La 1ère étape à consisté à extraire les 7 dents restantes et à poser une prothèse provisoire amovible. Quelques mois plus tard pose de 6 implants DIO et 3 mois plus tard la pose du bridge sur implant.

Europa Dental Hongrie

CAS N°3 Bridges complet sur 6 implants dentaires DIO mâchoire supérieure. Présence de fausse gencive sur le bridge pour compenser le déficit osseux et positionner la dentition correctement. 2 couronnes sur implants DIO mâchoire inférieure.